引子:
近日一个朋友的儿子,20多岁,因鼻窦炎到医院检查时在头颅核磁片子上偶然发现脑子里长了一个肿瘤。医生说要马上住院开刀,不然会有生命危险。
近期热播电视剧《心术》中有一个病人体检发现脑部有瘤,医生不建议手术,病人家属不放心想方设法要求做手术,最后闹剧一场。
在我的博客里有位网友问:纪医生,你好!我姐今年30岁。4月底检查出良性脑膜瘤,已有鸡蛋大小了,左眼已经完全失明了,现在右眼开始视力下降。由于是长在大脑主要血管附近,请问有没有其他方法可以延长寿命啊?或是不让视力继续下降?
脑膜的定义:
从脑膜上的细胞长出的肿瘤叫做脑膜瘤。总的来说,多数脑膜瘤是良性肿瘤,是可以治愈的,从这一点看,脑膜瘤不必大惊小怪的。但要知道如何正确(既不过度又能治好)治疗脑膜瘤,就需要了解一点基本知识。
脑膜在哪儿?
人体中最重要的部位就数脑了。由于重要,保护也就特别严实。从外向内看有:头皮、颅骨、脑膜3个保护机构。单就脑膜来说,又由3层结构组成:
1. 外层为硬脑膜,厚而坚韧,有神经血管,主要由纵行的胶原纤维组成,有保护和支持脑的功能;
2. 中层为蛛网膜,是疏松成网状的透明薄膜,其下的间隙称蛛网膜下腔,腔内充满脑脊液,膜薄而透明,无血管,在颅顶部形成颗粒状突起,伸入硬脑膜静脉窦内,脑脊液主要由此进入血液;
3. 内层为脑软膜,紧贴于脑表面,有丰富的血管,能伴随血管深入脑和脊髓组织,进行营养代谢作用,并参与组成脑室的脉络丛,产生脑脊液。
3层结构犹如一件优质的棉袄包绕在脑的表面,起到保护脑、营养脑、调节脑的重要作用。可以说,没有脑膜就没有脑的存活。

脑膜瘤的特点:
在脑子所有肿瘤中,胶质瘤是最多的,其次就是脑膜瘤,因此属于很常见的肿瘤。
年龄上看,脑膜瘤在成年人较多,老年与儿童较少,婴幼儿更少。脑膜瘤又一个特点是女性多于男性,这是与多数肿瘤不一样的地方,至于为什么,目前还不是很清楚。
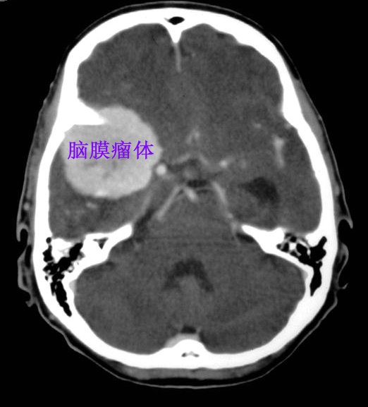
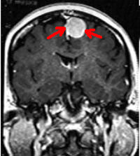
从脑膜瘤生长的部位来看,最多见的是脑顶部表面的(矢状窦旁、大脑镰旁),其次脑底部(蝶骨嵴、鞍结节、溴沟、小脑桥脑角与小脑幕等)。

值得提醒的是脑膜瘤可以“跑出”脑膜的部位,见于颅骨板障、额窦、鼻腔、头皮下或颈部,这种脑外的脑膜瘤是异位,不要当成恶性转移。
脑膜瘤多数为一个(单发),少见的有多发的,2个、3个甚至多达几十个,散在于同一部位。这时也不是恶性的表现。
脑膜瘤最多的感觉是头痛。这是由于脑子被坚硬的颅骨紧紧包绕和保护着,当脑膜瘤个儿小时(几厘米以下),颅骨内的压力还不大时不会有感觉的,只有当瘤子长大(几个厘米以上)时,颅骨内容纳不了,压力增大,就会出现头痛。
发现脑膜瘤怎么办?
我在20年前就对几百例脑膜瘤进行过分析(见《临床与实验病理学杂志》1995年第04期),总结过脑膜瘤的一些特点。总的来说,脑膜瘤的临床特点是发病缓、病程长。不同部位脑膜瘤可有不同的,临床表现,因成年人发病较多,故凡成年人有慢性头痛、精神改变、癫痫,一侧或两侧视力减退甚至失明、共济失调或有局限性颅骨包块等。拖的时间越长症状越多。一旦发现脑膜瘤,大致有3种情况:
1. 如果是查体偶然发现,并且没有感觉,可以隔3-6个月复查(CT扫描或核磁扫描都可以)看看瘤子是长大了还是不长大或者缩小了,然后再决定如何治疗。因为你没有感觉说明瘤子还不大,或者生长很慢,不要急急忙忙采用不合适的方法治疗,反而不利。有人脑膜瘤可以一辈子不长的。

图 CT检查可见右侧脑底部的脑膜瘤

图 核磁图像见脑顶部脑膜瘤
2. 如果是头痛后去医院检查头部CT或核磁发现有脑膜瘤时,说明瘤子长大了并且压迫了脑子出现了头痛,这时就需要治疗。脑膜瘤的治疗分为手术切除和非手术治疗。非手术治疗有各种方法(伽马刀、X刀等照射方法),到底采用哪种方法,绝不是单一因素决定的,而是要参考年龄、性别、症状轻重、瘤子部位、瘤子大小、瘤子生长的快慢等多个因素综合分析后选择的。千万不要轻易决定采用何种方法。自己拿不定主意时可以多找几家医院看看为好。
3. 对确属无法手术切除的晚期脑膜瘤或极少数恶性脑膜瘤,不必要强行手术,这时仅作减压性手术后采用非手术治疗,以延长生命。
纪小龙,著名病理学家,从医40余年。原解放军总医院、武警总医院教授与主任医师。