20多年前,当“脂肪肝”引起人们害怕并关注的时候,我曾不宵一顾,认为不值得大惊小怪,因为脂肪肝不是一个疾病,对人体无大碍的。可是,近年来,在媒体宣传和人们的谈论话题中,脂肪肝出现的频率越来越高,大有“得了脂肪肝,生命就要结束”之势,以至我不得不深入了解一下,人们到底怎么啦?我们的肝脏怎么啦?脂肪肝怎么啦?这已经成了一个迫切需要回答的问题。
首先我要提醒给大家一个事实,如果你翻开80年代以前的医学书籍,不管是内科学、传染病学、肝脏病学等学科的书籍,会发现一个现象:在这些众多的专业书籍列出的肝脏几百种疾病中,没有“脂肪肝”这样一个病名,也就是说脂肪肝不是人体的一个疾病,而八十年代以后的医学书籍中,脂肪肝这个名称大量出现。这迫使我们不得不思考:难道人类在二十多年前没有脂肪肝吗?如果有脂肪肝,它们都发生了什么样的变化?为什么二十多年前的书上没有这个名词呢?而现在有这么多人谈论脂肪肝的这种危害、那种危害,谈“脂”色变?难道这二十多年来肝脏发生了什么特别大的变化吗?事实证明:没有。这是为什么?
人类历史上有医学记载以来,只要有人类、有人体,不管在不同的地域、不同的民族,肝脏里面含有脂肪这个事实是一直存在的,不会是最近二十多年来肝脏才有脂肪,二十多年前肝脏没有脂肪。同样你可以想到:既然有人有肝脏就有脂肪肝,那为什么长期以来医学对这个问题却没有关注呢?难道是医学不发达吗?难道是医生们都熟视无睹吗?不是!如果真是一个疾病导致了人体的异常,损害了机体的健康,出现病态,医学不可能不在漫长的历史长河中,不去发现它、重视它。最后只有一个解释:脂肪肝不能称为一个疾病,不是人体肝脏的一个病变。脂肪肝是最近二十多年来把一个原本不该那么“危重”的问题人为地给予了过多的“关注”,不适当的给予了过多的“讨论。”
仔细分析后就会发现,八十年代以后,一种新型人体检查设备――B型超声仪的出现了。在医院里,超声检查广泛应用,这时脂肪肝这个名词的普遍频繁出现了。人们对脂肪肝的关注开始了,可是,在关注过程中忽略了一些以前存在的基本问题,过多的夸大的对脂肪肝予以宣传,予以了报导和不适当的描述,逐渐引起了人们不必要的恐慌。这是问题的所在。因此可以说:都是B超惹的祸!
那么到底肝脏里面有没有脂肪呢?这一点医学早就证实:人体都是由细胞组成的,肝脏也是由一个一个肝细胞构建起来的,在每一个细胞里,都含有必不可少的构成细胞的基本成份或者是物质、材料,那就是蛋白质、脂肪、糖,所以每个肝细胞都会有脂肪存在,只是因人而宜,脂肪在肝细胞里的含量多少不同而已。脂肪肝(fatty liver)是指各种原因引起的肝细胞内脂肪堆积而言。正常人每100克肝脏湿重约含4~5克脂质。目前医学上确定的标准是:肝细胞里含有的脂肪在5%以下,被列为正常;如果含量在30%以上,可以称为肝的脂肪变性,或者是脂肪堆积,才称为脂肪肝。那么脂肪肝的证实、明确,不是靠超声、CT、核磁,不是靠这些影像学的方法来判断肝细胞里有多少脂肪,仅靠影像学的所见诊断脂肪肝是不准确的。就拿超声检查来说,正常肝与脂肪肝的区别不是那么可靠的。(图1、2)

图1 正常肝脏的超声图像

图2 脂肪肝的超声图像
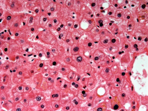
只有获得了肝细胞,用针穿一块、吸一块,把细胞取到后,在显微镜下真正的看到细胞里有多少脂肪,有多少个细胞有脂肪,才能做出脂肪肝的判断。(图3、4)

图3 正常肝的细胞图像,肝细胞里无脂肪堆积。

图4 脂肪肝的细胞图像,肝细胞里出现大大小小的脂肪空泡。
病理学上脂肪肝的表现为:大体看上去,脂肪肝的肝脏外观呈弥漫性肿大,边缘钝而厚,质如面团,压迫时可出现凹陷,表面色泽苍白或带灰黄色,切面呈黄红或淡黄色,有油腻感。(图5、6)
图5 正常肝呈深红色,柔软。

图6 脂肪肝呈红黄色,有油腻感。
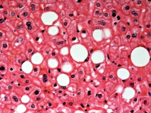
肝组织切片示肝细胞肿大,胞质内含有数量不等及大小不一的脂滴或脂肪空泡。起初肝细胞内蓄积的脂质呈多个无膜包绕的微球状,直径小至1~3μm,位于肝细胞浆无结构区域,胞核居中。当脂滴数量变多、直径增大至5μm时,光镜下可见脂滴呈串珠状聚集在肝细胞窦面,进而细胞质内充满这些微小脂滴,此即小泡性脂肪变(microsteatosis)。随着肝内脂肪含量增加,微小脂滴大小可保持不变或迅速融合成单个或多个直径大于25μm的大脂滴,将细胞核和细胞器挤压至细胞边缘,此即大泡性脂肪变(macrosteatosis)。大泡性脂肪变在吸收消散时往往先变成多个小的脂滴。这些变化可以逐渐加重,也可以逐渐消退,主要取决于血脂含量的多少。(图7、8、9、10)

图7 个别肝细胞里脂肪空泡

图8 肝细胞里脂肪空泡增多

图9 肝细胞里脂肪空泡越来越多

图10 多数肝细胞里出现脂肪空泡
二十多年前我就做过这么一个实验性的工作,那时,我跟超声科的主任设计了一个实验性的工作,就是在我每次做尸体解剖之前,给超声科打电话,他们就推一个轻便的B超机到解剖室来,然后先用B超看看我要解剖的这个尸体的肝脏有没有脂肪肝,他们做一个记录。然后我打开尸体的腹腔,把肝脏取出来,先用眼睛看看有没有脂肪肝,接下来再从肝脏上切几片组织做成切片,到显微镜下看看肝细胞里有没有脂肪,有多少脂肪。做了十多例以后,我们初步进行了一个比较,结果是:超声看到有脂肪肝的例子,而在我们打开腹腔不一定看到有脂肪肝,做成切片在显微镜下看肝细胞也不一定有脂肪肝;而超声认为没有脂肪肝的例子,我们有时反而看到肝细胞里面有较多的脂肪。所以这个工作做了十多例后,超声科的医生一看并不能够拿出他们在超声下诊断脂肪肝的可靠指征,下次我再打电话叫他们,他们就推脱说忙,来不了,实验也就中途而废了。这实际上也证明了超声检查在判断脂肪肝上是不那么可靠的。
这样一来,事实是:与生俱来的人类肝脏细胞里面有脂肪的,不是近20年才有的。只是由于B超的出现,大量B超检查过多地使用了脂肪肝的名称,诊断标准放的过宽了。仅靠B超诊断脂肪肝是不准确的。
那有脂肪肝和无脂肪肝到底对人体有什么危害呢?这个问题医学上早在五十多年前,甚至更早已经有大量的事实证明了。
记得我在当医生的时候,还是七十年代末期,肝脏穿刺活检就普遍开展起来了。在大量的肝脏穿刺中就曾遇到过肝脏细胞显著脂肪变性的病例。当时刚刚做医生不久,看到肝脏里面有这么多的脂肪,就很担心及好奇:有这样多脂肪的肝脏,肝功能正常吗?肝脏能不出问题吗?病人能生活吗?以后发展会怎么样呢?尤其是对我认识的病人,我就仔细关注了这个问题,一年、十年、二十年、三十年,到现在快四十年了,当初肝脏里出现大量脂肪病人,到现在依然健康的生活着,没有发生对肝脏、对机体损害的证据。
同样的道理,在西方社会,营养过剩、肥胖早已很普遍,肝脏里脂肪增多的现象普遍存在着,可是几十年、上百年了,没有得到肝脏脂肪增多导致人体肝脏损害充分的证据。这么来分析,我想人们应该清楚,脂肪肝并不可怕,并不要总在担心你肝脏里的脂肪在损害着你的肝脏。
另外经过对脂肪肝病例的动态随诊发现,肝脏里脂肪的多少是可以变化的,不是一成不变的,也就是说你身体里的脂肪多了,肝脏里的脂肪也就多;你身体里的脂肪少了,肝脏里的脂肪也会减少。肝脏是人体内脂质代谢最为活跃的器官,肝细胞在体内脂质的摄取、转运、代谢及排泄中起着重要作用。所以出现脂肪肝后,并不是说它就不会逆转,不会恢复,只要你减少了脂肪的摄入,血脂降低,那么肝脏的脂肪也会减少,也会从含脂肪多的状态恢复到含脂肪少的状态。也就是说,即使出现了脂肪肝,也不必忧心重重,只要减少体内的脂肪,脂肪肝是可以从明显到不明显的。
这就是作为一个普通人对脂肪肝应有的认识。
纪小龙,著名病理学家,从医40余年。原解放军总医院、武警总医院教授与主任医师。