今天一位年轻男士带着他妻子的宫颈检查报告与病理切片来会诊。原医院病理诊断为:“宫颈HSIL”,以及快要到宫颈癌了,建议做宫颈锥切手术。我看完病理切片后发现不够“HSIL”,而是“人乳头状瘤病毒,HPV”感染引起的子宫颈炎症性病变。既不需要手术,也不用担心现在有癌的危险。只需要抗HPV治疗即可。至于什么是“HSIL”、“癌前”等术语今天先不细述,只是当这位男士问我的一个问题:“以后怎么不再出现宫颈HPV感染?”,想多说几句。
1. HPV是“人乳头状瘤病毒”的简称,目前发现HPV有170多种,人体许多部位都可以被HPV感染。
2. 宫颈的HPV是性接触时被动地获得的。如果性伴侣没有把HPV送到宫颈,宫颈自己是不会有HPV感染的。比如没有性接触的儿童就没有宫颈HPV感染。
3. 妻子宫颈感染HPV,作为丈夫应该明白这个道理。以后如何不再感染HPV,需要夫妇共同把住HPV传播的途径。
4. 只要不再感染HPV,90%以上的HPV感染是可以“不治而愈”的,因为它是一种病毒,是可以自行消退的(比如感冒病毒)。
年轻的夫妇这下该知道怎么不再感染HPV了吧。

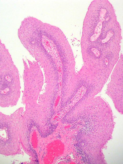
HPV感染后导致细胞增生呈现“乳头状”突起
纪小龙,著名病理学家,从医40余年。原解放军总医院、武警总医院教授与主任医师。
年轻夫妇尤其要知道的内容之一
今天一位年轻男士带着他妻子的宫颈检查报告与病理切片来会诊。原医院病理诊断为:“宫颈HSIL”,以及快要到宫颈癌了,建议做宫颈锥切手术。我看完病理切片后发现不够“HSIL”,而是“人乳头状瘤病毒,HPV”感染引起的子宫颈炎症性病变。既不需要手术,也不用担心现在有癌的危险。只需要抗HPV治疗即可。至于什么是“HSIL”、“癌前”等术语今天先不细述,只是当这位男士问我的一个问题:“以后怎么不再出现宫颈HPV感染?”,想多说几句。
1. HPV是“人乳头状瘤病毒”的简称,目前发现HPV有170多种,人体许多部位都可以被HPV感染。
2. 宫颈的HPV是性接触时被动地获得的。如果性伴侣没有把HPV送到宫颈,宫颈自己是不会有HPV感染的。比如没有性接触的儿童就没有宫颈HPV感染。
3. 妻子宫颈感染HPV,作为丈夫应该明白这个道理。以后如何不再感染HPV,需要夫妇共同把住HPV传播的途径。
4. 只要不再感染HPV,90%以上的HPV感染是可以“不治而愈”的,因为它是一种病毒,是可以自行消退的(比如感冒病毒)。
年轻的夫妇这下该知道怎么不再感染HPV了吧。

HPV感染后导致细胞增生呈现“乳头状”突起
纪小龙,著名病理学家,从医40余年。原解放军总医院、武警总医院教授与主任医师。