今天遇到一个外地来会诊的病例,病人眼睛下方鼓起了一个小包块,已有3个月,有蚕豆大小。这样的一个小包块,如果是“穷人”,只要不影响视力,不痛不痒,最多到一般医院的眼科检查一下而已。可这是一个“富人”,他不仅做了核磁共振检查,还做了PET-CT检查。检查报告都认为是恶性肿瘤,这样一来,一家人便在“天要塌下来”的阴影中度日如年。于是就赶紧手术切除。
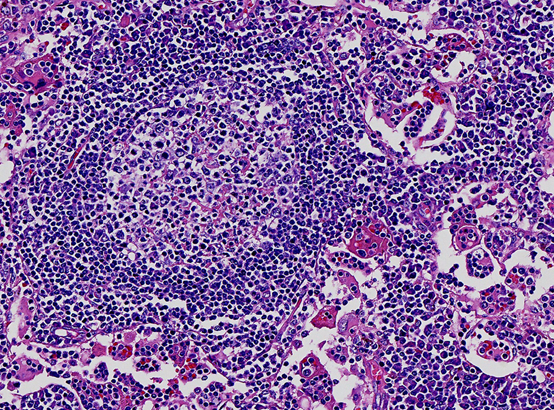
而事实上,它不过只是一个“淋巴组织增生”,本质上是一种慢性发炎,属于不治疗自己就可以好的小毛病。
眼下中国的医院,各种检查铺天盖地,病人不懂这些专业术语,更不知道影像学检查的诊断准确率最高也就75%左右。病人尤其容易被“PET-CT”(检查一次要1万元左右)忽悠,以为这样贵的检查结果就可信了。
在这儿需要普及的知识是:遇到疾病,首先还是要按“常规”(医疗规范)办事。

人体淋巴增生是多么的“绚丽多彩”
纪小龙,著名病理学家,从医40余年。原解放军总医院、武警总医院教授与主任医师。
~~~欢迎转发~~~
!!!转载请联系我们获取授权!!!